原作者:Francisco José Pallarés Martínez,穆尔西亚 大学,西班牙
翻译: 胡伟 伊科拜克技术服务经理
本文对猪的细菌性肺炎的主要致病原进行描述,其中大部分属于机会性致病菌,有2个属于原发性病原,能够自主引起发病。
能够自主引起猪肺炎的细菌性病原属于原发性的,包括肺炎支原体、传染性胸膜肺炎和某些多杀性巴氏杆菌菌株。继发性病原在原发性病原感染后或者动物受到免疫抑制后引起猪发病,包括大部分的多杀性巴氏杆菌菌株、猪链球菌、副猪和化脓隐秘杆菌等。
原发性病原中肺炎支原体引起地方性肺炎,导致日增重降低,料肉比提高,继发性病原感染后猪群会出现高的死淘率,给猪场带来巨大的经济损失。肺炎支原体属于柔膜菌纲的原核生物,双链DNA,缺乏细胞壁,不易在实验室培养。
肺炎支原体
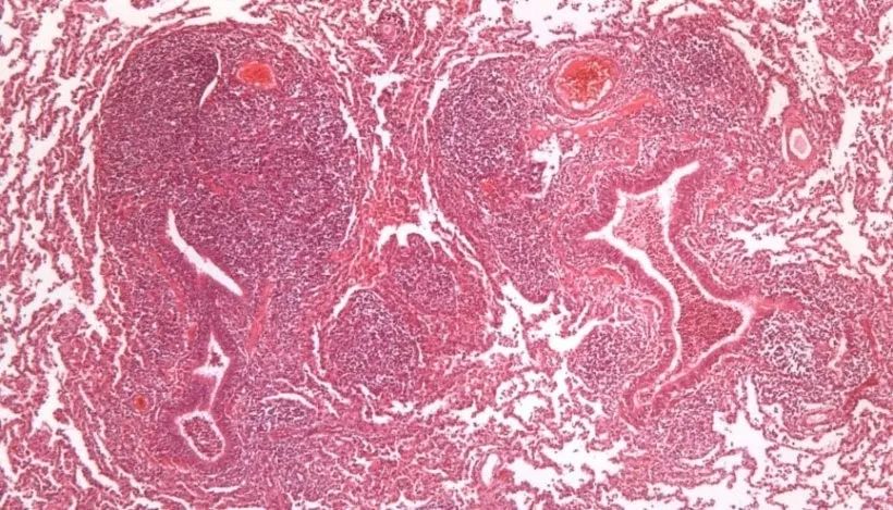
肺炎支原体黏附到呼吸道上皮细胞纤毛,导致纤毛损失,改变黏膜纤毛功能,导致肺脏的分泌物、吸入的灰尘颗粒和病原不能被清理出呼吸道,而进入下呼吸道,影响猪的呼吸过程。肺炎支原体导致支气管性间质肺炎,肉眼可见肺脏间叶和心叶组织红色实变,与其它正常区域区分明显(图1)。在显微镜检下,肺炎支原体导致支气管、细支气管和血管周围淋巴组织增生(图2)。

图1. 肺炎支原体引起支气管性间质肺炎

图2. 肺炎支原体引起的支气管周围淋巴组织增生
传染性胸膜肺炎放线杆菌
传染性胸膜肺炎(APP)为有荚膜的球杆菌,属于革兰氏阴性。主要有两个生物型:生物1型,属于烟酰胺腺嘌呤二核苷酸依赖性的;生物2型,不依赖烟酰胺腺嘌呤二核苷酸性。分为18个血清型。APP会产生4类毒素:Apx I, II 和 III,只有某些菌株可以使用;Apx IV,所有菌株都产生。APP定植在猪只的扁桃体处,从此处进入到下呼吸道,黏附到肺泡细胞上,然后分泌毒素。这些毒素产生溶血和细胞毒性效应,改变内皮细胞的功能以及肺脏巨噬细胞的吞噬能力,最终激活凝血系统,形成微血栓和肺脏的缺血性坏死,肺脏出现多个病变区域。
APP引起纤维素性支气管肺炎。在超急性型和急性型案例中,病变主要发生在隔叶(图3),表现为缺血性坏死和出血,肺脏质地非常脆弱。当切开病变区域后,坏死区域呈大理石样花纹。在显微镜下,坏死和出血区域的肺泡腔、支气管以及细支气管内存在纤维素性渗出物和变性的白细胞。APP引起的上述显微病变和一些强毒力的多杀性巴氏杆菌引起的显微病变基本一致,因此我们需要借助更多的临床症状、剖检和微生物学检测工具进行确诊。
急性发病后,APP通过血源性传播发展为慢性形式,整个肺脏上散布白色点状病变。

图3. APP引起的肺脏隔叶病变
继发性病原
大部分多杀性巴氏杆菌毒株为继发性病原,引起纤维素性支气管肺炎到卡他性化脓性支气管肺炎等不同病变。在纤维素性支气管性肺炎中,肺泡内产生纤维素性渗出物,同时在胸膜表面也有纤维素性渗出物。另外由于血栓的形成,导致肺脏出现多个缺血性灶。在卡他性化脓性支气管肺炎中,呼吸道内(气管、支气管和细支气管)和肺泡腔内有粘液性分泌物或者卡他性脓性分泌物(图4)。另外一个同样能引起支气管性肺炎的病原为支气管败血波氏杆菌,尤其是1周龄仔猪,发病时会伴随着非渐进性萎缩性鼻炎。

图4.化脓性支气管肺炎:肺脏副叶腹侧变大实变,上面散步黄白色病灶(箭头),和肺泡内填充脓性物质一致。肺间质也有水肿
化脓隐秘杆菌和猪链球菌可引起栓塞性肺炎,与脐静脉炎、皮肤或蹄的细菌性感染(化脓隐秘杆菌)相关,或者和心内膜炎(猪链球菌)有关。这些细菌通过血源性途径从病变部位到达肺脏。肉眼下,整个肺脏上散布直径1-2厘米的脓性病灶(图5)。

图5. 化脓性隐秘杆菌引起的栓塞性肺炎
引起胸膜和其它浆膜处纤维素性渗出的3个主要细菌为副猪、猪鼻支原体和/或猪链球菌。这些病变在生产中经常被忽略,而在屠宰场,经常能够观察到胸膜粘连。

图6. 屠宰场发:纤维素性胸膜炎
尽管引起呼吸道疾病的细菌大部分为机会性致病原,但是猪场要谨记两个原发细菌病原:肺炎支原体和传染性胸膜肺炎。



