蓝耳病,动脉炎属,病毒1991年被分离。即使在科技迅速发展的今天,蓝耳病仍然能带来无法估量的损失。
发病机理-肺巨噬系统的重要性
作为免疫抑制疾病的代表,蓝耳病毒主要是攻击全身的巨噬细胞系统。巨噬细胞系统是先天防御的第二道屏障,有着最强的吞噬功能,能吞噬掉大部分的外来病毒和细菌。当体内的吞噬系统被蓝耳病毒破坏之后,便很容易继发很多条件性的疾病。巨噬细胞还是主要的免疫细胞,蓝耳病毒会破坏巨噬细胞的抗原呈递作用,影响疫苗的免疫应答。



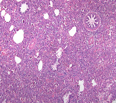
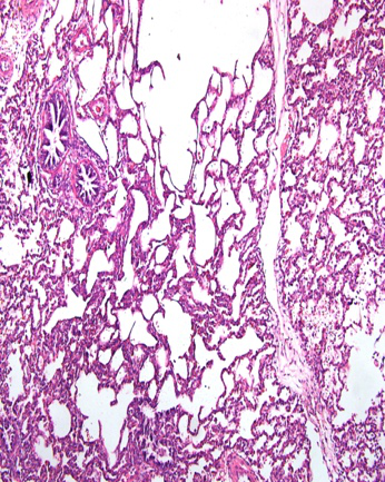
左图,肺泡内巨噬细胞的损伤可以认为是蓝耳特异性的显微病变
中图和右图,严重的间质性肺炎也基本可以认为是蓝耳引起的,虽然间质性肺炎意味着病毒性疾病,但是别的别的病毒性疾病可能很难引起这种典型病变
但是典型的显微病变不是每个蓝耳感染个体都能看到
传播特点-持续性传播
持续性传播是蓝耳病一个很重要的一个特点,在经历母猪繁殖障碍的爆发期,育肥猪感染以后,母猪群会进入稳定状态。蓝耳会转入生长保育猪,这种持续性传播很大程度上会在保育猪上表现的淋漓尽致,这种持续性不但表现为同一批次之间传播,还包括不同批次。因此保育猪的生长状况,很大程度上可以衡量一个猪场蓝耳病的感染压力。
感染个体的主要结局
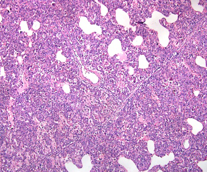
已经有足够的实验室数据和临床案例证明蓝耳病和一些细菌性疾病有非常紧密的相关性。蓝耳病毒会在肺血管巨噬细胞和肺泡巨噬细胞内复制并将其杀死。与人和啮齿类动物不同的是(人和啮齿类动物清除血液中的细菌和颗粒主要有肝脏枯否也细胞和脾脏巨噬细胞来完成),猪清除血液循环中的颗粒、细菌、内毒素的细胞主要是肺相关巨噬细胞。肺内巨噬细胞群损伤会会极大的降低其吞噬作用和杀菌作用。猪单纯感染蓝耳病毒机体可能是可以耐过的,蓝耳会继发很多条件性致病菌,包括链球菌,副猪嗜血杆菌,猪嗜血杆菌等,并且很多情况下保育猪会死于这种激发性的细菌性疾病。感染蓝耳病的个体结局可能有多种,或者死于间质性肺炎导致的呼吸系统的衰竭,病毒型肺炎引起的间质性肺炎会严重的降低肺的气体交换能力,机体无法得到足够的氧气衰竭而死,在病毒感染压力巨大的猪场,蓝耳个体多死于这种情况。还有一种情况是继发的细菌性疾病如链球菌和副猪嗜血杆菌引起的浆膜炎和脑膜炎,其中包括心包炎,胸膜炎,腹膜炎等。浆膜炎属于慢性消耗性疾病,个体猪最后会多系统衰竭而死。最后一种是面对同样环境,同样毒株存活的猪。



发病状态下的蓝耳总能看到典型的间质性肺炎,虽然间质性肺炎意味着病毒性疾病,但是更多的可能是蓝耳,很多疾病和血管有密切关系,蓝耳病毒具有嗜肺性特点,肺作为机体最大的毛细血管网,可以很好的衡量疾病的感染压力和发病程度,这种形态的肺,预示着猪场有严重的病毒感染压力。大体解剖中,间质性肺炎的特点是肺立体感增强,不塌陷,由于肺泡壁增生而会导致整个肺体积在胸腔内异常增大,因此典型的间质性肺炎有时候会看到特征性的肋骨压痕。
图片来源于蓝耳不稳定场



浆膜炎可以作为衡量蓝耳感染压力的另一个指标,浆膜炎会累及实质器官,使器官功能障碍,在蓝耳感染压力很大的猪场,很容易见到这种情况
不过浆膜炎属于细菌性疾病范畴,通常不会由病毒直接引起
图片来源于蓝耳不稳定场



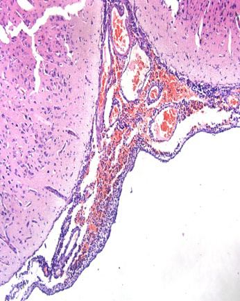
链球菌引起的脑膜脑炎是是蓝耳阳性场保育猪死亡的另一个主要原因,链球菌的发病情况和蓝耳病紧密相关
左图为为大脑的大体病变,但是大体解剖判断脑膜炎精确度不是很高,只有很严重的时候才能看出来。正常的时候,血管能够看得很清楚,如果脑膜炎严重的时候,血管周围可以看到很模糊的炎症产物,脑膜因此透明度减低和增厚
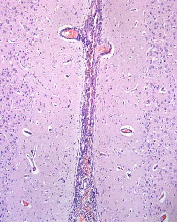
中、右图显微病变为慢性脑膜脑炎,脑膜有大量以淋巴细胞为主的混合炎症细胞,随着病程的发展,链球菌释放的毒素会破坏毛细血管,细菌随着血液循环进入大脑深皮层,形成血管套管现象,这时候的脑部显微病变和猪瘟,伪狂犬引起的病毒性脑病时很类似的。所以猪会有颤抖,摇头等神经症状
面临严重的病毒感染压力的猪场,很容易继发细菌性脑膜炎,但是很重要的是,一部分猪会死在此。
图片来自一头濒临死亡的保育猪,神经症状为主的死亡
病毒和损伤-中晚期发病个体的意义
肺部形态可以很好的衡量蓝耳病毒的发病与否和致病程度。但是这时候挑猪是个很关键的事情,如果针对抗原检测的话,必须要选择早期发病的猪,这时候处于病毒血症的的时期是很容易检测到病毒的,病毒含量还会很高,这一点同样适用于其他疾病,如猪流感和猪流行性腹泻等。但是对于解剖,或者抗体来说早期发病的猪未必能看到有价值的东西。即使蓝耳极不稳定的猪场,早期发病的猪的肺形态仍然是很好的,有些时候病毒含量的高低和机体损伤不是绝对正相关关系,病毒含量高有时候机体也是没有损伤的,但是需要指出的是病毒和机体损伤可能不是同时进行的。过早发病的猪可能还未形成肉眼能鉴别诊断的损伤,所以不但要关注发病早期的个体,对于发病中期和晚期的个体仍然对诊断是非常有意义的。虽然动物快死的时候机体可能有各种损伤,很难分辨出主次矛盾,但是如果猪不是死于和蓝耳相关的疾病的话,即使快死的时候,肺部形态有时候也是很好的。



蓝耳感染早期肺形态图片,左面图基本可以认为是正常肺,可以很好的萎缩塌陷,右面的肺发病中晚期,这两种肺都是可以检出蓝耳病毒的,病毒感染早期有时候无法还无法形成肉眼可以鉴别诊断的临床症状,中期和晚期发病的猪的大体病变是有很重要的诊断意义,中图显微病变为轻度的间质性肺炎,显微病变可以很好的衡量发病与否
图片来源于蓝耳很不稳定场
严格的生产管理的重要性-良好的生产管理会极大的降低临床症状
蓝耳引起的免疫抑制要远胜于圆环病毒,这可能是蓝耳病毒主要攻击机体全身的单核巨噬细胞系统有关。蓝耳病毒的靶细胞为全身的巨噬细胞,其中包括肺泡巨噬细胞,肺二型上皮细胞,肝脏枯否也细胞,脑小胶质细胞等,其中对肺泡巨噬细胞有特殊亲嗜力。单纯性的圆环阳性场做好相对生产管理的情况下,猪一般不会表现出明显的临床症状。圆环病毒只存在于猪的免疫系统,处于一种不发病状态。其实单纯性圆环病毒引起的组织损伤和临床症状的关系是有待商榷的,曾见过圆环病毒引起的典型的显微病变,但是猪群是没有明显的临床症状的。蓝耳病对生产管理的要求是非常严苛的,哪一种做的不好可能都会导致满盘输的后果,良好的生产管理涉及各种环节,包括良好的出生重、断奶体重、产房腹泻,各阶段的全进全出等。关于出生重,不得不得多说一点,出生重很多时候是由基因决定的,后天能改变的很少。很多人期望通过在妊娠后期增加饲喂量达到良好的出生重,其实这是一个很大的误区,后果往往是导致母猪体况过肥,体况过肥会导致母猪泌乳性能下降,并且生产困难,哺乳仔猪不能良好发育。有实验表明可能在妊娠后期饲喂高纤维为特点的日粮(比如添加适量木质纤维素),和有机铬对提高出生重会有效果。产房阶段的管理对整个生产管理系统是至关重要的。即使在一些蓝耳很不稳定的猪场,在同等条件,同等病毒的情况下,保育猪也总是还有那么几个体况很好的,并且仍然可以以相对良好的生长速度到达育肥,就是上文提到的感染蓝耳的个体结局的最后一种情况。这些幸存并且长势良好的猪基本可能是先天体重略大,能吃到很多乳汁,有一个很好的断奶体重的个体,这种猪基本会在生长的各个环节处于优势地位。疾病的本身就是外来抗原和机体的免疫系统相互斗争的结果,如果自身的免疫系统足够好的话,会极大的降低抗原的威力。所以我们就想方设法把那一群幸存的猪的优势变大,会极大的降低疾病带来的损失,良好的生产管理会极大的降低抗原的致病性。这也就解释了同一种毒株在不同猪场,不同个体表现出的临床症状可能千差万别。生物安全同样是很重要的,这时候生物安全的意义不仅在于防止病毒感染易感个体,还包括引入新的病毒,新的病毒包括新的蓝耳毒株,流行性腹泻病毒,猪瘟等。


同样的环境中,幸存的猪,其实这种群体也是可以检出蓝耳病毒的
这个群体仍然会以相对良好的生长速度到达育肥,上市
图片来源于蓝耳很不稳定场
产房阶段处于整个生产体系的核心阶段
哺乳阶段的生产管理的重要程度是已经决定了整个养猪体系的成败与否,其实各种动物都是这样,这个阶段处于整个生产的咽喉位置。反之这个阶段做的很差,断奶的猪个体普遍较弱,后期不管用什么办法,也不会取得很好的生产成绩。特别是对于蓝耳阳性不稳定场,断奶体重过低的猪个体,从经济的角度已经失去了继续饲喂的价值。


左图中的图基本会以良好的体重到达上市
右图中的猪有可能会继续存活,但是后期即使不管用任何办法,也很难取得良好的生产成绩,特别是在一些蓝耳不稳定场,右图中的猪已经失去了继续饲养的意义
产房阶段的生产管理处于整个生产中的咽喉位置
维持群体平衡性是防控的关键-平衡性的建立
现阶段净化蓝耳的措施包括,全群淘汰,或者一次性引入足够的后备母猪然后封群半年等。全群淘汰现阶段是不可能的,封群的措施实施现在也很难做好每个环节。蓝耳病的防控要点是形成一种平衡,就是蓝耳病毒和整个猪群之间的平衡,这种平衡是很重要的,也是可以建立的。随着病毒的流行性,蓝耳病毒的致病性会越来越低,这是任何一种病毒性疾病的一个种发病规律,所以也就有阳性稳定场这个说法。目前给猪群整体注射减毒活疫苗可以使的猪群获得统一感染从而获得一种平衡,但是对于蓝耳阳性场免疫蓝耳活苗可能不是一个很好的选择,有学者指出弱毒苗虽然可以减缓病毒血症但是并不能明显减轻临床症状和肺部损伤,还有可能发生的一点就是疫苗株和病毒的变异重组,而产生新的毒株。现阶段国内最主要的蓝耳流行毒株就是类NADC30系列,此病毒的一个特点是很容易和别的病毒发生重组。杨汉春教授发现新毒株的tjnh1501,新毒株的特征就是NADC30和减毒活疫苗高致病性江西株重组而成,产生新的个体基本代表新的发病,蓝耳疫苗对变异株的的交叉保护性是很差的,不管免疫多少次疫苗,这种疫苗形成的抗体也是很难经受考验的。机体自身产生的抗体也会形成一种平衡,对于蓝耳阳性场可能不免疫弱活苗是一种不错的选择。
对于那些只有单一毒株的猪场,这种平衡是容易建立的。但是很多时候,这种平衡很容易被打破,比如频繁引猪,很差的生物安全等,其后果就是使的病毒重新找到新的易感个体,死灰复燃,重新焕发生机活力。


