ASF的临床症状和许多其他猪的疾病很相似,特别是猪瘟、猪丹毒和猪高致病性蓝耳病等。鉴别诊断依靠病原学或血清学诊断。ASFV 感染后,发病率一般在 40-85% 之间,死亡率由 ASFV 毒株的毒力决定。高致病性毒株死亡率可高达 90-100%;中致病性毒株在成年动物能引起 20-40% 的死亡率,在幼年动物中引起 70-80% 的死亡率;低致病性毒株能够造成 10-30% 的死亡率。特急性型 ASF表现为突然死亡,临床症状不明显。急性症状表现为食欲减退、发热(40-42℃)、肺水肿、淋巴组织广泛坏死和出血、皮下出血和高死亡率 (GomezVillamandos et al., 1995b; Mebus, 1988)。亚急性或慢性 感染有时可能会出现鼻出血、便秘、呕吐,出血性腹泻。在四肢、耳、胸部、腹部和会阴部位出现不规则的出血斑,这些症状在感染中等致病毒株的猪中较为明显(图 14,图15)。怀孕母猪常发生流产。

01
图14:典型非洲猪瘟的临床症状
a. 最初耳部尖端发红;b. 随后全身皮肤发红、出血。来源:(Oura et.,2013)

02
图15:急性和亚急性非洲猪瘟临床症状
a. 急性非洲猪瘟,皮下出血、坏死斑;b. 亚急性非洲猪瘟,腿部皮肤出血点;
c. 亚急性非洲猪瘟,肛门周围附着出血性粪便。来源:(Gallardo et al.,2015c)
全身脏器出血、坏死是 ASF 的主要临床表现,具体表现为皮下出血,淋巴结广泛出血和坏死,严重时呈黑色。肺水肿。脾脏肿大、质脆变脆,肾脏、肠系膜和浆膜出血(图 16,图 17)。

03
图 16:急性非洲猪瘟解剖病变
A脾脏肿大,紫黑色;B. 淋巴结严重出血;C. 淋巴结切面,出血、湿润;D. 肾脏肿大、表面出血大量出血点。来源:(Sanchez-Vizcaino et al., 2015)

04
图17:亚急性非洲猪瘟解剖病变。
A. 胆囊壁严重水肿;B. 肾脏周围水肿;C. 脾脏部分充血、肿大 ;D. 肝、胃淋巴结出血;E. 肾门淋巴结出血 ;F. 肾脏皮质、髓质、肾盂严重出血。来源:(Sanchez-Vizcaino et al., 2015)
病原学诊断依赖于活病毒、抗原、基因组的检测,包括病毒分离、抗原ELISA、荧光抗体检测(FAT)、PCR和等温扩增分析等方法。目前实时荧光定量qPCR(Quantitative real-time PCR,qPCR) 使用最为广泛,对 ASFV 诊断具有很高的灵敏性和特异性。
ASFV主要在网状内皮系统的细胞内复制。可采集的临床样品包括抗凝血(EDTA)、脾脏、肝脏、淋巴结和扁桃体 (PJ, 1989)。若需病毒分离,样品运送过程中需保持低温冷藏,不能冷冻。
1、病毒分离
ASFV可以从血液、脾脏、肝脏、淋巴结和扁桃体等组织中分离。红细胞吸附(HAD)实验可用于 ASFV 检测(图18)。但是后来发现部分 ASFV 毒株呈现 HAD 阴性。

05
图18:ASFV感染的巨噬细胞周围吸附大量红细胞。
来源:http://asf-referencelab.info/asf/en/proceduresdiagnosis/diagnostic-procedures
2、荧光抗体检测(FAT)
用疑似感染ASF的猪组织制作涂片或冰冻切片,内源性的抗原可与特异性的 AFSV 荧光抗体结合,显微镜直接观察结果。优点是快速、特异高,对于急性病例的诊断灵敏度较高,但对亚急性或慢性 AFS,由于自身抗体会阻断荧光抗体与抗原的结合,容易出现假阴性结果。
3、抗原 ELISA
病毒抗原也可用ELISA检测,但只推荐在急性病例时使用,灵敏度没有PCR检测方法高(Steiger et al.,1992)。第一个直接 ELISA 检测 ASFV 的方法能检测的抗原浓度是 50-500 HAD50/ml (Wardley et al., 1979)。后来基于 VP72 单抗的双抗夹心法 ELISA 具有较高的灵敏性 (Vidalet al., 1997)。分子诊断技术目前 qPCR 被认为是 ASFV 基因检测的金标准,被用在 OIE 所有的区域性参考实验室。血液、血清和组织样本都可用于 qPCR 检测。优点是快速、敏感性和特异性都很高。能够检测出所有 ASFV 毒株(23 个基因型),甚至因保存不当而降解的样本也可用于检测 (Boshoff et al., 2007)。但容易因交叉污染出现假阳性的结果,此外,因 PCR 抑制物及核酸降解出现的假阴性也应该注意。
King首次报道TaqMan探针荧光定量PCR检测方法 (King et al., 2003),该方法在 OIE推荐方法,引物针对 VP72 保守区域,有很高的特异性和灵敏度,针对 25 种ASFV 毒株和 16 种非洲及欧洲的软蜱 ASFV 毒株,灵敏度达到 10-100 个核酸分子。
现在在使用的几种分子诊断技术见下表 7:

06
表 7:Real-time PCR, Linear-After-The-ExponentialPCR (LATE-PCR) 和等温扩增技术
猪感染 ASFV 后 7-10 天可出现抗体,抗体可以持续很长时间,由于目前没有 ASF 疫苗可用,因此抗体检测可作为感染 ASFV的诊断依据,尤其是针对于亚急性和慢性ASF,适合大规模抗体筛查。在ASF根除计划中有很重要的作用。
ASFV 编码多种蛋白,具有诊断意义的蛋白主要有p72,p54, p30(p32) 和 p62 蛋白。常用抗体检测方法主要有ELISA,间接免疫荧光实验(IIF)、对流免疫电泳(IEOP)和免疫印迹 (IB) 等。最早用于 ASF 抗体检测的是对流免疫电泳(IEOP)(Panet al., 1972),后来被敏感性更高的 ELISA 取代,国际间贸易多用 ELISA 检测。鉴于 ELISA 检测容易出现假阳性结果,阳性样本需要再次进行 IIF 或 IB 检测确认。IB 可对结果作出一个简单客观的解释 (Alcaraz et al., 1990; Pastor et al., 1989)。
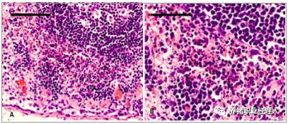
全身多个脏器淤血、出血、坏死是 ASF 的主要临床表现,大体病变见(临床诊断部分)。组织病理学表现为出血、淤血,脾脏(图19)、肝脏(图20)、胸腺(图21)、肠道(图22)、肺和脑(图23)等组织中的单核、淋巴细胞出现核固缩、核碎裂。鉴于ASF的特殊性,需要依靠病原学和血清学进行确诊和鉴别诊断。

07
图 19:ASFV 感染猪的脾脏(A、B)和扁桃体(C、D)。测方法 靶位基因 内参 敏感度 (拷贝数) A. 脾脏红髓和白髓大面积出血、坏死,淋巴细胞减少; B. 残存的淋巴组织(箭头所指);C-D. 淋巴细胞坏死、核碎裂。( 长箭头指部分隐窝,短箭头指部分滤泡)。来源:(Ganowiak, 2012)

08
图 20:感染 ASFV 12 天后,肝脏免疫组化结果。可见枯否氏细胞(棕色)周围吸附多个红细胞(红细胞吸附现象,HAD)。来源:(Rodriguez et al., 1996)

09
图 21. 感染ASFV 6天后胸腺。
A. 正常胸腺对照;B. 淋巴细胞严重耗竭,呈现星空样。来源:(Salguero et al., 2004)

10
图 22:急性 ASF 肠系膜淋巴结。淋巴细胞坏死、核碎裂。来源:(Ganowiak, 2012)

11
图23:感染ASEV后肺与脑组织病理变化。
A. 肺脏严重充血,血管因血栓堵塞而显著扩大(箭头所指);B. 脑脉络丛血管严重充血,部分血管周围出现单核细胞浸润;C-D. 脑实质血管周围出现大量单核细胞浸润,呈“血管套” 现像,浸润的单核细胞出现核碎裂。来源:(Ganowiak, 2012)


